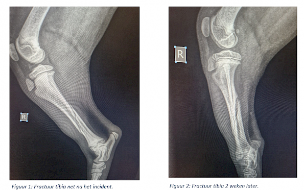
Het is maandagavond einde van het spreekuur, de laatste consulten en werkzaamheden worden afgerond op de praktijk in Oisterwijk. Er wordt gebeld voor een puppy van 8 weken oud met een pijnlijke achterpoot. Hier moet natuurlijk meteen naar gekeken worden, dus de pup kwam zo snel mogelijk naar de praktijk. Het verhaal is dat hij lekker aan het spelen was en ineens enorm gilde van de pijn. Hij houdt zijn rechterachterpoot omhoog. Uit het orthopedisch onderzoek en de röntgenfoto blijkt dat de achterpoot gebroken is ter hoogte van de tibia (het onderbeen bij de mens). En nu? Er zijn twee behandelingsopties mogelijk: een plaat met schroeven plaatsen door middel van een operatie of de poot in een spalk zetten. Bij deze pup is gekozen voor een spalk, omdat de botdelen nog zo mooi op zijn plaats zaten.
Zo’n incident brengt natuurlijk ook een financieel kostenplaatje met zich mee. Nu klinkt een operatie al vrij snel duur in de oren, maar spalken is helaas niet veel goedkoper. Hierbij heb je regelmatig controles nodig om te zien of de breuk mooi herstelt en of de spalk nog steeds goed op zijn plek zit. En in het hierboven beschreven geval heb je nog eens te maken met een pup, die in deze levensfase snel en hard groeit. Nu kan je denken, had ik maar een verzekering voor mijn huisdier.
Huisdierverzekeringen zijn al langer op de markt, maar gezien de stijgende dierenartsenkosten en de incidenten die niet altijd te voorzien zijn, willen we de verzekeringen extra onder de aandacht brengen. Er zijn tegenwoordig erg veel mogelijkheden in hoeveel er vergoed wordt en wat wel of niet uitgesloten wordt. Vaak krijgt u de eerste maand gratis, zodat u de tijd heeft om u te oriënteren in de mogelijkheden. Een huisdierverzekering geeft meer financiële ruimte, waardoor er ook meer mogelijkheden in de behandeling van uw huisdier zijn.
Het is goed om de overweging te maken om een huisdierverzekering te nemen. Zo kunt u hopelijk (ook in de toekomst) de beste zorg aan uw huisdier blijven geven. Een dierenarts kan u hierover verder informeren.
Met deze pup is het allemaal goed afgelopen. Op de onderstaande foto (figuur 1) is de breuk van de rechterachterpoot te zien. Na 2 weken zagen we een mooie callus vorming (figuur 2). Dit betekent dat de breuk netjes aan het genezen was. Na 4 weken was de breuk voldoende hersteld en kon de spalk verwijderd worden.
